矯正歯科
Orthodontics
矯正歯科(症例集)
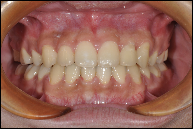
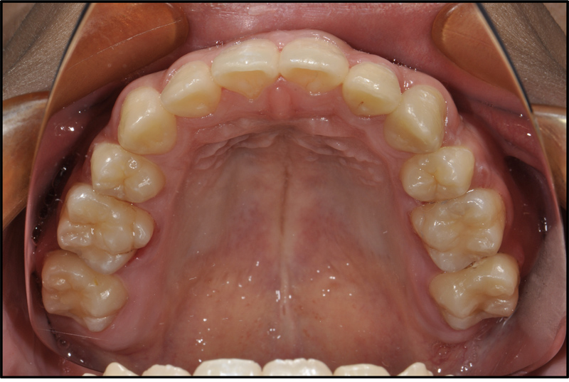
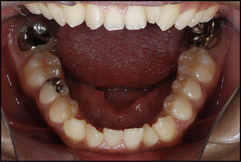
CASE 1 18歳 男
| 悩み | 上の前歯が出ていて、下の前歯がガタガタしている。 |
|---|---|
| 抜歯 | 上下小臼歯4本 |
| 装置 | マルチブラケット(表)、アンカースクリュー (2本) |
| 内容 | 前歯が前方に傾いていて口元が突出してたため抜歯を選択し、アンカースクリューを使って前歯を後ろに下げる治療を行った。しっかり前歯でかめるようになり、口元の突出感もなくなった。 |
| 期間 | 2年3ヶ月 |
| リスク | う蝕、歯周病、歯根吸収、アンカースクリュー 脱落 |
| 費用 | 70万円(調整料は含みません) |
CASE 2 14歳 女
| 悩み | 上の前歯が斜めにはえているのが気になる。 |
|---|---|
| 抜歯 | 上下小臼歯4本 |
| 装置 | マルチブラケット(表)、ヘッドギア(夜間) |
| 内容 | 前歯にガタガタがあり骨格的な顎の幅が不足していたため抜歯を選択し、ヘッドギアを使って奥歯のかみ合わせを維持する治療を行った。前歯の見た目が改善され、しっかりかめるようになった。 |
| 期間 | 3年5ヶ月 |
| リスク | う蝕、歯周病、歯根吸収、歯肉退縮 |
| 費用 | 70万円(調整料は含みません) |
CASE 3 13歳 男
| 悩み | 上下の前歯の歯並びを治したい。 |
|---|---|
| 抜歯 | 上下小臼歯4本 |
| 装置 | マルチブラケット(表)、トランスパラタルアーチ、ヘッドギア(夜間) |
| 内容 | 前歯にガタガタがあり骨格的な顎の幅が不足していたため抜歯を選択し、成長期の顎の成長を利用して奥歯のかみ合わせを整える治療を行った。奥歯のかみ合わせが改善され、見た目もきれいになった。 |
| 期間 | 3年2ヶ月 |
| リスク | う蝕、歯周病、歯根吸収、口内炎 |
| 費用 | 70万円(調整料は含みません) |
CASE 4 19歳 男
| 悩み | 前歯の歯並びが気になる。 |
|---|---|
| 抜歯 | 上下小臼歯4本、下大臼歯2本 |
| 装置 | マルチブラケット(表)、トランスパラタルアーチ |
| 内容 | 前歯にガタガタがあり歯の角度が前に傾斜していたため抜歯を選択し、さらに神経を抜いてある下顎第二大臼歯を抜歯してその部位に親知らずを並べる治療を行なった。前歯がきれいに配列され、治療済みの歯も無くなった。 |
| 期間 | 4年 |
| リスク | う蝕、歯周病、歯根吸収、治療の長期化 |
| 費用 | 70万円(調整料は含みません) |
CASE 5 16歳 男
| 悩み | 歯の数が足りないと言われた。 |
|---|---|
| 抜歯 | 上小臼歯1本 |
| 装置 | マルチブラケット(表)、トランスパラタルアーチ |
| 内容 | 右上小臼歯1本、両側下小臼歯が1本ずつ先天欠如していたため抜歯を選択し、3本の先天性欠如を通常の4本抜歯矯正の仕上がりとする治療を行なった。生まれつき歯の本数が少なかった部分の隙間をきれいに閉じることができた。 |
| 期間 | 4年2ヶ月 |
| リスク | う蝕、歯周病、歯根吸収、奥歯の傾斜 |
| 費用 | 70万円(調整料は含みません) |
CASE 5 37歳 女
| 悩み | 上の前歯が出ている。 |
|---|---|
| 抜歯 | 上下小臼歯4本 |
| 装置 | マルチブラケット(表)、アンカースクリュー |
| 内容 | 前歯が前方に傾斜しており口元が突出していたため抜歯を選択し、アンカースクリューを使用して前歯を最大限に後方へ移動する治療を行なった。口元が下がり、前歯の傾斜が改善したことでガミースマイルも改善した。 |
| 期間 | 4年 |
| リスク | う蝕、歯周病、歯根吸収、スクリューの脱落 |
| 費用 | 70万円(調整料は含みません) |